2025.03.10
症例
審美のみらくる:症例①
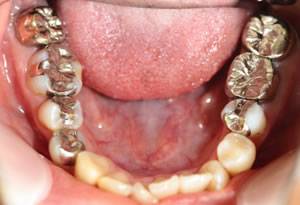
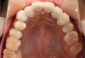
矯正をしないで治したいとのことだったので、かなり難しかったです。八重歯の抜歯、歯ぐきの手術、銀歯の除去などを行い、多少のでこぼこ感は残りましたが、きれいに仕上がりました。患者様は大満足でした。歯の治療が終わった後、めでたくご結婚が決まり、最高の笑顔で挙式をされました。
治療前



治療後



| 治療名 | 前歯部オールセラミック治療・臼歯部オールセラミック治療・コンポジットレジン治療 |
|---|---|
| 患者さま | 20代・女性 |
| 執刀医 | Dr.高橋 |
| 治療内容 | 前歯部オールセラミック治療、臼歯部オールセラミック治療、コンポジットレジン治療 |
| 治療期間 | 8ヶ月 |
| 費用 | 1,760,000円(税込) |
| リスク |
セラミックの破折、レジンの摩耗が考えられます。 |