はじめに
レーザーと聞くと、人それぞれ想起するものがあるかもしれません。
CDやバーコードリーダーなど日常生活でもよく使われています。
レーザーを定義するならば、レーザーとは1秒間に約1兆回以上も振動するエネルギーの強い光のことを指します。そしてレーザー治療とは、このレーザー光線を照射することによって治療効果をより高める治療法です。
安心でかつ質の高い治療を患者様に提供できるように当医院でもレーザー治療を、その中でも炭酸ガスレーザーを導入しています。

レーザー治療の効果
遠赤外線
当院が使用するレーザーは炭酸ガスレーザーです。その炭酸ガスには遠赤外線効果があります。
遠赤外線は、水の分子に吸収されると内部エネルギーが高まり温度が上昇します。それが細胞組織と共振することで発熱し、いわゆる「熱さ」や「温かさ」を感じます。
発熱すると毛細血管が拡張し、血液循環が活性化し新陳代謝が促進されます。その結果、組織を再生する力が高まるため、治療効果が上がります。

炎症や痛みを緩和することができます
お口の中で痛みや不快感を感じる場合など、レーザー治療を行うことで痛みや不快感を和らげることができます。
またお口の中や、唇にできる口内炎や口角炎の痛みなどもレーザーですぐに和らぎ、治りも早くなります。
潰瘍などができた場合にも効果があります。

出血を抑えることができます
レーザー治療を受けることのひとつの特徴は、出血を抑えることができる点です。
歯ぐきや粘膜を対象にした治療では、歯ぐきを切開することがあります。その際に出てしまう血をほとんど抑えることができます。
また、術後帰宅された際に時々血が出てしまうことがありますが、レーザーを施しておくとそれらを抑えることができます。
さらに、歯ぐきに炎症を起こしている場合は、緩和させたり、腫れや痛みを抑えることもできます。

当院で使用するレーザー「炭酸ガスレーザー」

みらくる歯科クリニック川越では、吉田製作所の炭酸ガスレーザー「オペレーザー Lite」を使用しております。
炭酸ガスレーザーは、妊娠中や高血圧、心臓疾患、人工透析中の方でも安心して治療できる、生体にやさしい治療機器です。具体的には、歯周病や口内炎、歯ぐきの黒ずみ(メラニン色素)の除去、知覚過敏などに効果があります。
出血を抑えることができます
| 歯周病 | 歯と歯ぐきの間の溝にレーザーを当てて、歯周病菌を治療します。レーザー照射により、歯周病の原因である細菌を減らし、膿を出します。出血や痛みを抑え、回復が早くなります。 |
|---|---|
| 口内炎 | レーザーによって、口の中や唇にできる口内炎の痛みをすぐに和らげ、回復を早めます。 |
| 歯ぐきの 黒ずみ |
メラニンという色素は、歯ぐきを黒くします。この黒ずみは、レーザー照射によって短時間で除去することができます。数日後には、元のピンク色の歯ぐきになります。 |
| 知覚過敏 | 象牙細管という歯の神経につながる穴が開いていると、水や歯ブラシが触れた際に、神経が刺激されます。このとき、レーザー治療を行うと、歯の表面に薄い膜を作って、穴を防ぐことができます。 |
「メラニン」が黒ずみの原因?歯茎が黒ずむ4つ原因について
【原因1】メラニン色素の沈着
歯茎の黒ずみの一つの原因は、メラニン色素の沈着です。メラニンは皮膚や髪の毛の色を決定する色素であり、歯茎にも存在します。メラニン色素が歯茎に沈着することで、歯茎全体が黒ずんで見えることがあります。人種によってメラニン色素の量は異なるため、黄色人種や黒色人種の方が白人よりも歯茎の色素沈着が起こりやすい傾向があります。ただし、メラニン自体は害ではありません。

【原因2】差し歯や被せ歯
長期間にわたり差し歯や被せ歯をしている場合、金属の成分が歯茎に接触し続けることで黒ずみが生じることがあります。金属の成分が溶け出して歯茎に蓄積することで、接触面が黒ずむ現象を「メタルタトゥー」と呼びます。また、昔の歯科治療で歯茎の中に残った金属が歯茎に色をつけることもあります。特に保険内で行われる一般的な治療では、金属が歯茎に色素沈着することがあります。一部の詰め物の種類によっては、金属が全身に回り、健康問題を引き起こす可能性があるとされています。
【原因3】喫煙
喫煙は歯茎が黒ずむ原因となることがあります。タバコに含まれるタールが歯茎に付着し、またニコチンや一酸化炭素によって血流障害が起きることで、歯茎が黒ずんで見えることがあります。この場合、歯を含む口全体が黒ずむこともあります。喫煙によって歯茎の黒ずみが引き起こされるため、受動喫煙でも同様の問題が起こる可能性がありますので注意しましょう。
【原因4】歯周病
歯周病も歯茎の黒ずみの原因となります。歯周病では、歯茎が腫れや赤みを帯びていることが多いですが、症状が進行するにつれて黒ずんで見えることもあります。歯周病は歯茎周囲の組織の炎症や感染によって引き起こされる病気であり、適切な治療が必要です。炎症や感染が進行すると、歯茎の色が変化し、黒ずむことがあります。
歯茎の黒ずみを放置すると問題が生じる可能性があります!
その一つが歯周病です。40歳以上の人々の間では、70~80%が歯周病に罹っているとされています。歯周病は自覚症状がほとんどないため、気づかずに進行してしまうことがあります。この病気が進行すると、歯茎や歯の根元にある骨が破壊され、結果的に歯が抜け落ちたり、歯を抜かなければならなくなる可能性もあります。虫歯がなくても、歯茎の健康を保つことは非常に重要です。
また、金属の詰め物にも注意が必要です。一般的に保険診療で使用される金属の詰め物にも問題があることがあります。特にアマルガムと呼ばれる水銀を含んだ金属の詰め物は注意が必要です。アマルガム詰め物を取り外す際には、専門的な技術と注意が必要です。アマルガム詰め物を使用している場合は、歯科医師とよく相談し、適切な処置方法を検討する必要があります。
歯茎の健康を維持するためには、定期的な歯科検診と適切な歯のケアが重要です。歯科医師との定期的な相談や適切な処置を受けることで、歯周病や金属の詰め物による潜在的な問題を予防することができます。

健康な歯茎の特徴
近年、歯や歯茎の健康は見た目の美しさだけでなく、全身のアレルギーや精神状態にも影響を及ぼすと言われています。以下に健康な歯茎の特徴をご紹介します。以下のチェックリストを参考にしてみましょう。
-
全体的に一様な薄いピンク色であること。
-
シミがないこと。
-
歯としっかりと密着していること。
-
引き締まっていること。
-
血が出にくいこと。
-
歯茎が下がっていないこと。
-
歯と歯の間にきれいな三角形があること。
日本人の多くは歯周病にかかっているため、これらの特徴が全て当てはまる方は少ないかもしれません。また、歯茎の色は急激に悪化するわけではありませんが、ゆっくりと時間をかけて濃くなっていくことがあります。そのため、改めて自分の歯茎を注意深く観察してみると、意外と色が悪くなっている箇所があるかもしれません。
健康な歯茎を維持するためには、適切な口腔衛生の習慣を実践し、定期的な歯科検診を受けることが重要です。歯科医師の指示に従い、歯磨きやフロスの適切な使い方を実践しましょう。早期の歯茎の変化や問題に気づくためにも、自己チェックを定期的に行うことをおすすめします。

歯茎の黒ずみ対策<対処療法編>
歯茎の黒ずみの原因がメラニン色素の沈着の場合、以下の対処療法や治療方法を検討することができます。ただし、根本的な治療も併せて行うことが重要です。

【治療1】メラニン除去
審美歯科などで行われる治療方法として、メラニン除去があります。黒ずみの部分に薬品を塗り、それにレーザーを照射することで、メラニン色素を取り除きます。この治療により、約40分程度で黒ずみを改善することができます。レーザーは歯茎の再生を促す作用があり、高温になることでメラニンを蒸散させます。痛みは針で刺された程度であり、安全な方法ですが、自由診療となります。
【治療2】ガムピーリング
ガムピーリングは、フェノールと呼ばれる薬剤を使って歯茎の表面をピーリングする方法です。この治療では、通常1~2週間で黒ずみを改善することができます。ただし、塗布した部分の歯茎は一時的に白っぽくなることがあります。フェノールはタンパク質を腐食する作用があり、黒ずみの原因であるメラニンを取り除く効果があります。この治療は一定の痛みを伴う場合がありますが、治療後は美しい歯茎を取り戻すことができます。こちらも自由診療となります。
歯茎の黒ずみ対策<根本治療編>
対症療法によりピンクな歯茎を取り戻した後は、再び黒ずみが発生しないように根本的な対策を行いましょう。
【治療3】金属の詰め物などを除去
差し歯や被せ歯によるメタルタトゥーが黒ずみの原因である場合、金属製の詰め物をオールセラミックス製(陶器)のものに変更することが考慮されます。これにより、金属の溶け出しや歯茎の変色、金属アレルギーの心配が軽減され、また、硬さや弾力性、白さといった面でも本物の歯に近い状態を再現することができます。ただし、金属イオンが歯茎の奥深くまで浸透している場合は、治療が難しくなることがあります。この場合、黒ずんだ部分を電気メスなどで切り取ったり、歯茎の移植手術を行うことも検討されます。

【治療4】禁煙
レーザーや他の治療法で歯茎を美しくした場合でも、喫煙を続けると同様の色素沈着が再発する可能性があります。美しい歯茎を長く維持するためには、禁煙が必要です。喫煙は歯茎の健康に悪影響を及ぼすだけでなく、全身的な健康にも悪影響を与えることが知られています。自分自身の健康と美しい歯茎を守るために、禁煙を始めましょう。
【治療5】歯周病や虫歯の治療
歯が黒く見える原因が歯の奥にある虫歯などの問題の場合は、歯茎を通しても黒ずみが目立つことがあります。黒い部分を改善するためには、歯周病や虫歯などの治療が必要です。歯科医師と相談し、適切な治療方法を受けることで、歯茎の健康を回復させ、黒ずみを改善することができます。
まとめ
健康的なピンク色の歯茎は、見た目にも美しく、健康状態を示す重要な要素です。黒ずみが気になる場合、我慢する必要はありません。歯科医師に相談し、健康的な歯茎を取り戻す方法を探りましょう。審美歯科を専門とする歯科医院での相談をおすすめします。専門知識を持った歯科医師が適切な治療方法を提案してくれるでしょう。自分自身の健康と美しさを大切にするために、一度相談してみる価値があります。

レーザー治療の症例
歯肉メラニン除去
歯ぐきの黒ずみにレーザーを当てて、白くしていきます。黒ずみが強い場合は何回かに分けて行います。元のように、ピンク色の歯ぐきが復活いたしました。


| 治療名 | レーザー治療 |
|---|---|
| 患者さま | 20代・女性 |
| 執刀医 | Dr.高橋 |
| 治療内容 | 歯肉メラニン除去。 |
| 治療期間 | 1ヶ月 |
| 費用 | 4,400円(税込) |
| リスク | 治療後の疼痛と色の後戻り |
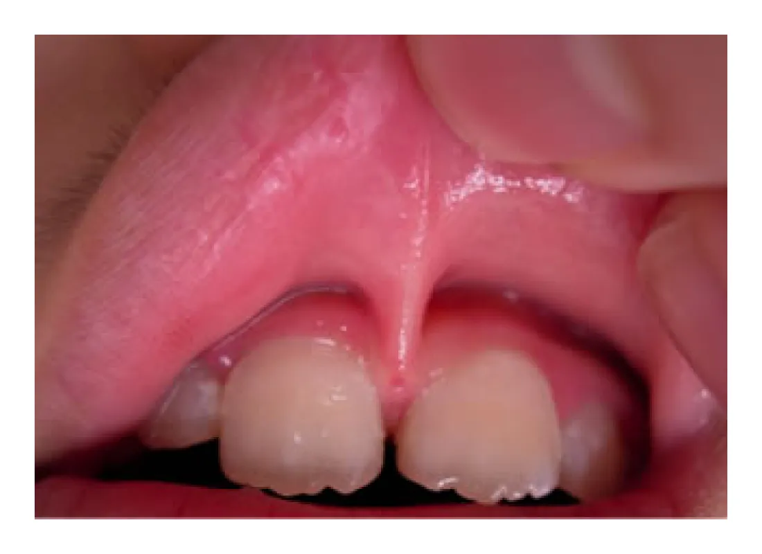
小帯切除
舌や、上唇の下のいわゆる「すじ」が強い方にレーザーを当てて切除します。
すじが強すぎると、歯並びや滑舌に影響します。レーザーなら出血が少なく済みます。


| 治療名 | レーザー治療 |
|---|---|
| 患者さま | 10代・女性 |
| 執刀医 | Dr.高橋 |
| 治療内容 | 上唇小帯切除術。 |
| 治療期間 | 1週間 |
| 費用 | 保険範囲内 |
| リスク | 治療後の疼痛、小帯の後戻り |
粘液嚢胞切除
唇などのできものをレーザーを使って取り除きます。出血が少なく済みます。


| 治療名 | レーザー治療 |
|---|---|
| 患者さま | 20代・女性 |
| 執刀医 | Dr.高橋 |
| 治療内容 | 粘液嚢胞摘出術。 |
| 治療期間 | 1週間 |
| 費用 | 保険範囲内 |
| リスク | 治療後の疼痛、嚢胞の再発 |