
歯型を取る。
審美歯科セラミック治療は、当院長の得意とする分野です。
専属の技工士と連携して、
いわゆる「芸能人のような」
きれいな歯を入れることができます。
〜Miracle smileをあなたに。〜
白く透明感のあるオールセラミックの歯で、あなたの笑顔を明るく輝かせます。
ノーベルバイオケアは、世界で初めて近代的な歯科インプラントシステムを製品化した、スウェーデン発の審美歯科・インプラントのリーディングカンパニーです。当院でも、インプラント治療においてこのノーベルバイオケア社の製品を多く採用しています。
同社のインプラントは、日本をはじめ、世界70カ国以上で使用されており、さまざまな治療ニーズに対応できる高い信頼性を誇ります。また、日本国内でも多くの歯科医師が使用しているため、転居などで他院を受診される場合も、スムーズな引き継ぎがしやすく安心です。
インプラントはお口の中に長くとどまる治療です。だからこそ、実績があり、信頼できるメーカーの製品を選ぶことがとても大切です。

このカードには、使用されたインプラントに関する情報が記録されており、携帯することでご自身で治療記録を管理することができます。将来的に他の歯科医院を受診される際も、このカードがあることで適切な診療につながりやすくなります。

審美歯科セラミック治療は、自然な美しさと機能性を兼ね備えた歯科治療法です。この章では、セラミック治療の基本的な概要や、そのメリット、選択肢について詳しく解説します。また、みらくる歯科クリニック川越がどのようにこれらの治療を行っているのか、その技術水準とアプローチについても触れていきます。
セラミック治療は、歯の見た目と機能を改善する最先端の審美歯科治療です。自然な色合いと質感で、本来の歯に近い美しい仕上がりを実現します。また、セラミックは非常に耐久性が高く、長期間にわたって歯の健康を保つことができます。この治療法は、見た目の美しさだけでなく、機能的な面でも多くのメリットを提供し、患者様のQOL(生活の質)の向上に大きく寄与します。
審美歯科セラミック治療において、使用する材料の選定は非常に重要です。セラミックには様々な種類があり、それぞれに独自の特性と美的効果があります。例えば、ジルコニア系セラミックは強度が高く、前歯から奥歯まで幅広く使用されます。一方で、レジン系セラミックは自然な透明感があり、特に前歯の審美性を重視する場合に適しています。患者様の歯の状態やニーズに合わせて、最適な材料を選定することが重要です。

オールセラミックとは、金属を一切使わず、すべてにセラミックを使用した歯冠修復法です。
審美歯科セラミック治療の中でも、とりわけ審美性の高い仕上がりを求める方に最適の治療法です。
オールセラミックとは対照的に、金属を使うのがメタルボンドです。金属のフレームを土台とするため高い安定性・強度が得られる一方、金属による変色や人によってはアレルギーなどの問題もあります。歯科医師と相談しながら、症状や場所に合った最適な治療を選択してください。
| メタルボンドクラウン | オールセラミック |
|---|---|
![]() |
![]() |
金属を使用せずにすべてにセラミックを用いると、以下のような利点が得られます。

歯型を取る。

歯型を立体的なデータとしてコンピュータに取り込み、設計する。コンピュータ制御の機械により、高精度に冠を加工。

お口に装着。
| 金属を使った場合 | オールセラミックを 使った場合 |
|---|---|
![]() |
![]() |
みらくる歯科クリニック川越では、患者様一人ひとりの要望に応じたパーソナライズされた治療を提供しています。最新の技術と豊富な経験を持つ専門家が、患者様の歯の状態や美的要望を丁寧に分析し、最適なセラミック材料を選定します。また、クリニックでは、治療の精度を高めるために、最新のデジタル技術を積極的に取り入れています。このように、みらくる歯科クリニック川越は高い技術水準と患者様中心のアプローチで、質の高い審美歯科セラミック治療を提供しています。
審美歯科セラミック治療は、その美しさと機能性で、患者様の笑顔と自信を取り戻すための重要な手段です。適切な材料の選定と専門家による丁寧な治療が、その成功の鍵となります。みらくる歯科クリニック川越では、最新の技術と個々の患者様へのきめ細かい対応により、最高の治療結果を提供しています。この章を通じて、セラミック治療の基礎知識を深め、より良い治療選択をするための一助となれば幸いです。

審美歯科セラミック治療を受けることを決めた患者様にとって、そのプロセスは一種の旅のようなものです。治療がどのように進行していくのか、各ステップごとに詳しく解説し、患者様が何を期待できるのかを明確にします。初診から治療計画の立案、実際の治療の各段階までを、わかりやすく説明していきます。
審美歯科セラミック治療の最初のステップは、初診です。この時点で、歯科医師は患者様の口腔の状態を詳しく検査し、治療に関する患者様の希望や期待を詳細に聞き取ります。初診では、治療の全体像についての説明が行われ、患者様が治療について理解し、安心して進められるようサポートします。この段階で患者様が抱える疑問や不安に答えることも重要と考えています。
患者様のニーズと口腔の状態を踏まえ、次に治療計画の立案が行われます。このプロセスでは、セラミックの種類、形状、色などが検討されます。治療計画は、患者様の期待を満たすだけでなく、口腔全体の健康と機能を考慮して策定されます。この計画は、患者様に詳細に説明され、納得していただくことが大切です。
審美歯科セラミック治療は、複数のステップに分かれています。まずは歯の準備として、必要に応じて古い詰め物の除去や歯形の取り方などが行われます。次に、セラミックを製作し、最終的に歯に装着します。この段階では、セラミックの形状や色が患者の希望に沿っているかどうかを確認し、細かな調整を行います。治療の終わりには、自然で美しい笑顔を取り戻すことができ、噛み合わせや口腔内の健康も改善されることが期待されます。
審美歯科セラミック治療は、患者様の笑顔を取り戻すための重要なプロセスです。この章を通じて、治療がどのように進行し、どのような結果を期待できるのかを理解することで、患者様が治療に対する不安を和らげ、より良い結果に向けて前向きに進むことができるでしょう。セラミック治療の各ステップを丁寧に進めることで、最終的には健康で美しい笑顔を実現することが目指されます。

セラミック治療を前にして、多くの患者様が不安や疑問を抱えることは自然なことです。この章では、治療前の不安を解消し、治療に向けて準備を整える方法について詳しく解説します。また、みらくる歯科クリニック川越がどのように患者様をサポートしているかについても紹介します。適切な準備と情報を持つことで、患者様は治療に対してより安心し、前向きに取り組むことができます。
審美歯科セラミック治療を受ける前には、多くの患者様が不安を感じます。これは、治療のプロセスや結果に対する不明確さから生じることが多いです。不安を解消するためには、まず、歯科医師とのコミュニケーションを大切にすることが重要です。歯科医師は、治療のプロセス、期間、予想される結果などについて詳細に説明し、患者様の疑問に答えます。また、以前に治療を受けた患者様の事例や体験談を聞くことも、不安を和らげるのに役立ちます。
治療前の準備は、スムーズで効果的な治療のために重要です。患者様には、治療日程の調整、口腔衛生の維持、必要に応じた食生活の調整などが求められます。また、治療に関する資料を読んだり、質問をまとめたりすることで、治療への理解を深め、不安を軽減することができます。健康状態に関する情報も、歯科医師に伝えておくことが重要です。
みらくる歯科クリニック川越では、患者様が安心して治療を受けられるよう、万全のサポート体制を整えています。クリニックでは、初診時のカウンセリングを重視し、患者様の不安や疑問に丁寧に応えています。また、治療計画の立案に際しては、患者様の希望やライフスタイルを考慮したパーソナライズされたアプローチを採用しています。治療中の疑問や不安には、随時対応し、患者様が安心して治療を受けられる環境を提供しています。
セラミック治療前の不安は、適切な情報提供とサポートによって大きく和らげられます。患者様が治療に向けて準備を整え、クリニックとの良好なコミュニケーションを持つことで、治療はよりスムーズに進行します。みらくる歯科クリニック川越では、患者様一人ひとりの不安に寄り添い、安心して治療を受けられるようサポートしています。この章を通じて、患者様が治療前の不安を解消し、心穏やかに治療に臨めるよう、サポートの重要性とその方法を理解していただければ幸いです。

精密な補綴技術は、審美歯科セラミック治療において欠かせない要素です。この技術を駆使することで、患者様に自然で美しい笑顔を提供することが可能となります。この章では、高度な補綴技術の重要性、東京医科歯科大学で学んだ最新の知識と技術の応用、さらに難症例への対応力とその実例について詳しく掘り下げます。これらの情報を通じて、精密な補綴技術の魅力とその影響力を理解していただければと思います。
補綴技術は、患者様の歯を美しく、機能的に回復させるための技術です。高度な補綴技術には、精密な測定、丁寧なデザイン、そして細部にわたるこだわりが必要です。この技術は、見た目の美しさだけでなく、噛み合わせや口腔機能の改善にも大きく寄与します。高度な補綴技術によって、患者様は自然な見た目と快適な噛み心地を手に入れることができ、日常生活の質が向上します。
東京医科歯科大学では、最新の歯科医療技術や知識が常に更新され、それらは臨床現場で活かされています。ここで学んだ知識と技術は、審美歯科セラミック治療やその他の補綴治療に応用され、患者様に最高水準の治療を提供します。これにより、より精度の高い治療計画の立案や、複雑な症例への対応が可能となり、患者様の満足度を高めることができます。
高度な補綴技術は、特に難症例においてその真価を発揮します。例えば、大きな噛み合わせの問題や、広範囲にわたる歯の欠損など、標準的な治療法では対応が難しい症例に対しても、精密な補綴技術を用いることで、患者様に満足いただける結果を提供することができます。これらの実例を通じて、補綴技術の高度化がどのように患者様の治療結果に影響を与えるのかを理解していただければと思います。
精密な補綴技術は、患者様の笑顔を取り戻すための重要な鍵です。この章では、高度な補綴技術の重要性、最新の知識と技術の応用、難症例への対応力について詳しく解説しました。これらの情報を通じて、患者様が補綴技術の魅力と重要性を深く理解し、信頼して治療を受けられるようになることを願っています。高度な補綴技術により、より多くの患者様が自信を持って美しい笑顔を取り戻すことができます。

審美歯科セラミック治療は、単に見た目を美しくするだけでなく、長期的な健康と生活の質の向上にも大きく貢献します。この章では、セラミックの耐久性と長期的なメリット、治療後の生活の質の向上、そして継続的なフォローアップとケアの重要性について詳しく解説します。患者がセラミック治療の長期的な効果を理解し、治療後も適切なケアを続けることで、持続的な健康と美しさを維持できるようになります。
セラミック素材は、その高い耐久性で知られています。正しくメンテナンスされたセラミックは、多くの場合、長年にわたってその美しさと機能を保ち続けます。これは、セラミックが汚れや変色に強く、自然な歯と同じように機能するためです。長期的なメリットとしては、見た目の改善に加え、噛み合わせの改善や口腔全体の健康維持にも寄与します。これにより、患者様は自信を持って社会生活を送ることができます。
審美歯科セラミック治療を受けることで、患者様は即座に見た目の改善を実感することができます。しかし、その影響は見た目だけに留まりません。適切に調整された噛み合わせにより、食事の楽しみが増し、発音の明瞭さも向上することが期待できます。また、自信のある笑顔は、社会生活や人間関係においてもポジティブな影響をもたらします。これらの変化は、患者様の生活の質の向上に大きく寄与します。
審美歯科セラミック治療後の継続的なフォローアップとケアは、長期的な効果を保つために不可欠です。定期的な歯科診察に加え、日常の口腔ケアも重要です。正しいブラッシングやフロスの使用は、セラミックの長持ちに大きく寄与します。また、治療後も歯科医師との定期的なコミュニケーションを通じて、小さな問題が大きくなる前に対処することができます。
審美歯科セラミック治療は、その即時的な美容効果だけでなく、長期的な健康と生活の質の向上にも寄与する治療法です。この章を通じて、セラミックの耐久性と長期的なメリットを理解し、治療後のケアの重要性を認識していただければと思います。適切なケアと定期的なフォローアップにより、患者様は長期にわたって健康で美しい笑顔を維持することができます。

審美歯科セラミック治療は、ただ単に歯を修復する以上の意義を持ちます。それは、患者様の自信と生活の質を向上させることに寄与する美しい笑顔への道筋です。この章では、審美的な観点からの審美歯科セラミック治療の重要性、患者様の体験談を通じて自信を取り戻す過程、そして美しさと機能性の完璧なバランスについて掘り下げます。これらの情報を通して、審美歯科セラミック治療がいかに患者様の人生にプラスの影響を与えるかをご理解いただければと思います。
審美歯科セラミック治療は、患者様の歯を美しく見せるだけでなく、その笑顔全体の印象を変える力を持っています。審美的な観点からのアプローチでは、色調や形状、歯の配置など、細部に至るまで患者様の全体的な外見と調和するよう配慮します。これにより、自然で魅力的な笑顔が実現され、患者様の自己表現と自信に大きく寄与します。
審美歯科セラミック治療の最終目標は、美しさと機能性の完璧なバランスを実現することです。美しい見た目だけでなく、正しい噛み合わせや口腔機能の改善も同時に目指します。このようなバランスの取れたアプローチにより、患者様は日々の生活において食事や会話をより楽しむことができるようになります。また、美しい笑顔は社会生活においてもポジティブな影響を与え、患者様の人生全体にわたってメリットをもたらします。
美しい笑顔への道は、単なる審美的な治療を超え、患者様の人生に積極的な変化をもたらすものです。審美歯科セラミック治療は、美しさと機能性の完璧なバランスを目指し、患者様の自信と満足を大きく向上させます。この章を通して、審美歯科セラミック治療の持つ力と、それが患者様の生活に与える影響の大きさを理解していただければと思います。患者様一人ひとりの美しい笑顔が、その人の人生における輝かしい章となるよう願っています。

審美歯科セラミック治療は、単に口腔内の美しさを取り戻すだけでなく、全身健康にも肯定的な影響を与えます。この章では、口腔健康が全身に及ぼす影響、審美歯科セラミック治療と全体的なウェルネスとの関係、そして健康な生活への貢献について詳しく解説します。口腔健康が全体的な健康状態に与える影響を理解することで、審美歯科セラミック治療の重要性がより明確になります。
口腔健康は全身の健康と密接に関連しています。不十分な口腔ケアは、歯肉炎や歯周病などの問題を引き起こす可能性があり、これが心臓病や糖尿病など他の全身疾患のリスクを高めることが知られています。健康な口腔環境を維持することは、全身の健康を保つためにも非常に重要です。審美歯科セラミック治療は、損傷した歯を修復し、口腔内の健康を改善することにより、全身健康に寄与します。
審美歯科セラミック治療は、外見上の改善だけではなく、全体的なウェルネスにも貢献します。適切な噛み合わせと口腔機能の回復は、栄養の摂取や消化に良い影響を与え、全身の健康をサポートします。また、自信を持って笑顔を見せることができるようになることは、精神的なウェルビーイングを向上させ、社会的な関係や日常生活にポジティブな効果をもたらします。
審美歯科セラミック治療による口腔内の健康の改善は、健康な生活を送る上での大きな一歩となります。良い口腔環境は、食事の楽しみを増し、全身の健康を維持する基盤を提供します。また、美しい笑顔は自信と幸福感を高め、ストレスを軽減する効果もあります。審美歯科セラミック治療は、このようにして患者様の健康な生活への貢献に大きく寄与するのです。
審美歯科セラミック治療は、口腔健康を改善することで、全身健康にも良い影響を与える重要な治療法です。この章を通して、口腔健康が全身のウェルネスに与える影響と、審美歯科セラミック治療が健康な生活にどのように貢献するかを理解していただければと思います。健康な口腔環境を維持することは、患者様の全体的な健康と幸福にとって不可欠な要素であり、セラミック治療はその実現に大いに寄与します。

オーダーメイド治療は、患者様一人ひとりのニーズと期待に応じた、パーソナライズされた治療計画の提供を意味します。この章では、個々のニーズに対応したカスタムプランの重要性、患者様の声を反映するプロセス、そしてみらくる歯科クリニック川越の患者中心のアプローチについて詳しく解説します。オーダーメイド治療が患者様の満足度を高め、より良い治療結果をもたらすことを理解していただければと思います。
カスタムプランは、患者様の口腔状態、美的要望、生活スタイル、健康状態など、多様な要因を考慮して作成されます。これにより、治療は患者様の具体的なニーズに合わせて最適化され、より効果的かつ効率的になります。例えば、時間的な制約がある患者様には1dayセラミック治療を、特定の美的要望がある患者様には詳細な色調調整を行うなど、各患者様に最適な治療プランを提供します。
患者様の声を治療計画に反映させることは、患者中心のケアにおいて極めて重要です。患者様の不安や疑問、希望を丁寧に聞き取り、それを治療プランに反映させることで、患者様は自分の治療過程に対してより大きな信頼感と満足感を持つことができます。これにより、患者様は治療に積極的に参加し、その成功に向けて協力的になります。
みらくる歯科クリニック川越では、患者様一人ひとりに合わせた治療を心掛けています。これには、最初のカウンセリングから治療計画の立案、治療実施、アフターケアに至るまで、患者様中心のアプローチが反映されています。患者様の小さな要望にも耳を傾け、それを治療計画に組み込むことで、患者様に最高の治療経験を提供しています。
オーダーメイド治療は、患者様一人ひとりの特定のニーズに応えることで、最適な治療結果をもたらします。みらくる歯科クリニック川越では、患者様の声を大切にし、それを治療に反映させることで、患者様の満足度を最大限に高めています。この章を通して、オーダーメイド治療の重要性とそのプロセスを理解し、患者様が自分に最適な治療を受けることの価値を認識していただければと思います。各患者様の独自のニーズに合わせた治療が、最終的にはより良い治療結果をもたらすことでしょう。

「セレック」とは「セラミック修復」のことであり、コンピューターによって歯の修復物を設計し、作る「CAD/CAM」システムです。
そしてセレックを用いる治療手法のことを「セレック治療」と呼びます。
大半のセレック治療において、「口の中を撮影→歯を入れる」までのステップが1~2時間で完了します。つまり基本的に当日中に歯を入れることができるのです。したがって歯科医院に足を運ぶ回数も少なくて済みます。

工場の厳格な規格を守っているセラミックを用います。そのためとても耐久力に秀でています。
通常の歯の修復物とは異なり「歯科技工所(歯科技工士)」に依頼しませんから、コストが低いです。
原則として保険の効かないセレック治療ですが、比較的安く済みます。
多くの国で採用されている手法ですから信頼性も高いです。


歯科金属アレルギーの方がセレック治療をした場合、そのうち5割以上の人の症状が和らいでいます。
セレック治療では「アレルギー症状を引き起こしている金属」を、「非金属のセラミック」に取り替えますから、歯科金属アレルギーの症状が改善していくのです。
また、当院では、マイクロスコープを用いて「口の中の金属を取る様子」をご覧いただきます。これにより「金属の下」の状態をチェックしていただくことが可能です。
※ちなみに歯科金属アレルギーは、「口の中の金属が徐々に溶解し、その成分を飲み、体内に蓄積していくこと」によって発生します。そのため口内に金属を入れた当初は問題がなくても、数年後~数十年後に症状が出るかもしれません。
まずはカウンセリングを行います。そして丁寧に歯周組織検査をして、歯茎のコンディションをチェックします。
※この時点でセレック治療以外の治療手法をおすすめする可能性もあります。

唾液検査をして、検査結果をベースに虫歯のリスクをチェックします。
※任意の検査ですから省略していただいても構いませんが、「虫歯になりやすい状態」は好ましくありませんからぜひご検討ください。
唾液検査の結果をベースに、生活習慣の見直し・歯周病の治療など、虫歯のリスクを下げるための指導をさせていただきます。
修復する歯を削ったら、口の中を立体カメラで撮影します。
立体光学カメラを用いてたった数秒で撮影を完了させますから、従来の型取りにつきものだった不快感がありません。
撮影が終わりましたら、モニターに撮影した歯列が表示されます。
コンピューターの3Dモニターにて修復物の設計を行います。
モニターのあらゆるアングルから「フォルム」や「噛み合い」を微調整し、ベストな形状へと仕上げます。
設計が完了しましたら最適な色のセラミックブロックを選択します(色の種類も様々です)。
設計データをベースとしてマシンが加工します。つまりマシンがセラミックブロックを削り出し、高精度の修復物を作り上げるということです。
削り出されたセラミック修復物を口腔内へセットし、微調整を行い完了となります。

審美歯科セラミック治療に関する費用は、単なる支出ではなく、長期的な健康と美しさへの投資と考えることができます。この章では、審美歯科セラミック治療の費用とその透明性、長期的な視点でのコストパフォーマンス、そして質の高い治療への投資の価値について詳しく掘り下げます。費用に関する透明性と治療の長期的な利益を理解することで、患者様は治療に対するより良い決定を下すことができます。
審美歯科セラミック治療の費用は、使用する材料、治療の複雑さ、および治療に要する時間によって異なります。みらくる歯科クリニック川越では、治療前にこれらの費用を明確に説明し、患者様が予期しない支出に直面することがないようにしています。透明性の高い料金体系は、患者様が治療に対して安心感を持つことを助け、信頼関係の構築に寄与します。
審美歯科セラミック治療の初期投資は、その耐久性と長期的な効果を考慮すると、非常に高いコストパフォーマンスを持つと言えます。高品質な審美歯科セラミックは長持ちし、再治療の必要性を減らすことで、結果的には長期的なコストを抑えることができます。また、治療による美しい笑顔と改善された口腔健康は、患者様の日常生活の質を向上させ、結果として得られるメリットは計り知れません。
審美歯科セラミック治療への投資は、美しい笑顔と健康な口腔環境の獲得という形で、長期的な価値を提供します。この治療は、見た目の改善だけでなく、患者様の自信と全体的なウェルビーイングに寄与し、社会生活やキャリアにおいてもポジティブな効果をもたらすことが期待できます。したがって、審美歯科セラミック治療への投資は、患者様の全体的な生活の質を高める意味でも、大きな価値があると言えます。
セラミック治療への投資は、初期費用を超える長期的なメリットをもたらします。この章を通して、治療費用の透明性とコストパフォーマンス、そして質の高い治療への投資価値について理解していただければと思います。患者様は、この情報を基に、自分自身の健康と美しさへの投資を考え、より良い選択をすることができるようになります。審美歯科セラミック治療は、単なる費用ではなく、患者様の将来への賢明な投資となるでしょう。

審美歯科セラミック治療後のメンテナンスとケアは、長期的な成果を保持し、口腔健康を維持するために不可欠です。この章では、審美歯科セラミック治療後の適切なケア方法、継続的なメンテナンスの重要性、および治療後のフォローアップとサポート体制について詳しく探ります。これらの知識を通じて、患者様がセラミック治療の効果を長期にわたり享受し続けるための方法を理解していただければと思います。
審美歯科セラミック治療後の適切なケアは、治療効果を長持ちさせるために重要です。日々のブラッシングとフロスを丁寧に行うことは基本ですが、セラミックに特有の注意点もあります。例えば、硬い食べ物を避ける、定期的な歯科検診を受けるなどが挙げられます。また、特別なクリーニング用具やテクニックを使用することも、セラミックの状態を保つのに役立ちます。
継続的なメンテナンスは、審美歯科セラミック治療の長期的な成功を確実なものにします。定期的な歯科検診では、セラミックの微細な損傷やフィットの問題を早期に発見し、必要に応じて調整や修理を行います。これにより、問題が大きくなる前に対処することができ、より長期間にわたってセラミックの美しさと機能を維持できます。
みらくる歯科クリニック川越では、治療後のフォローアップとサポートにも力を入れています。治療後の定期的なチェックアップはもちろん、患者様からの質問や懸念に対して迅速に対応します。このサポート体制により、患者様は治療後も安心して口腔ケアを続けることができ、必要に応じて追加のアドバイスやケアを受けることができます。
審美歯科セラミック治療後のメンテナンスとケアは、治療効果を維持し、口腔健康を保つために非常に重要です。この章を通じて、適切なケア方法と継続的なメンテナンスの重要性、そして治療後のフォローアップとサポート体制の役割について理解していただければと思います。みらくる歯科クリニック川越では、患者様が治療後も美しい笑顔と健康な口腔を維持できるよう、全面的にサポートしています。これにより、患者様は治療の効果を最大限に活かし、長期的な健康と満足を享受することができます。

患者様の声は、治療の効果とクリニックのサービスを理解する上で非常に貴重な情報源です。この章では、一般的な患者様の声と感想、治療前後の変化とその影響、そして患者様の満足度とその理由について詳しく紹介します。患者様の実際の体験談を通じて、審美歯科セラミック治療の実際の効果と満足度を理解していただければと思います。
実際に審美歯科セラミック治療を受けた患者様からは、多くの肯定的な声が寄せられています。多くの患者様は、見た目の美しさの向上に加え、口腔の機能改善にも高い評価をしています。治療によって自信がつき、日常生活でのコミュニケーションが以前よりも積極的になったという声も多く聞かれます。
治療前には、患者様の多くが見た目に対する自信の欠如や、口腔機能に関する問題を抱えていることが一般的です。審美歯科セラミック治療後、これらの問題は大きく改善されます。具体的には、笑顔の美しさが増し、食事や会話がより快適になるといった変化が見られます。これらの変化は、患者様の社会生活や心理的なウェルビーイングに大きなプラスの影響を与えています。
審美歯科セラミック治療を受けた患者様の満足度は一般的に非常に高いです。これは、治療の美的な結果と機能的な改善、両方の面での期待を超える結果が得られるためです。また、みらくる歯科クリニック川越の患者中心のアプローチや丁寧なケアに対しても高い評価があり、これが患者様の満足度をさらに高めています。患者様は、治療によって生活の質が向上したと感じており、その投資価値にも満足しています。
患者様の声と体験談は、審美歯科セラミック治療の実際の効果とクリニックのサービスの質を反映しています。この章を通じて、患者様が治療前後にどのような変化を経験し、どのような理由で満足しているのかを理解していただければと思います。患者様の肯定的な体験談は、これから治療を検討している方々にとっても大きな励みとなり、治療への信頼と期待を高めるでしょう。審美歯科セラミック治療は、多くの患者様にとって美しさと健康の両面で大きなメリットをもたらしています。

みらくる歯科クリニック川越は、そのユニークな特徴と優れたサービスで、多くの患者様に選ばれています。この章では、クリニックの特色や提供するサービス、患者様に選ばれる理由、そしてスタッフと治療環境について詳しく紹介します。これらの情報を通じて、みらくる歯科クリニック川越がなぜ高い評価を受けているのかをご理解いただければと思います。
みらくる歯科クリニック川越は、最先端の技術と個々の患者様へのきめ細やかなケアに注力しています。特に審美歯科セラミック治療においては、最新のCAD/CAM技術を駆使した精密な治療を提供しており、患者様の満足度を最大限に高めています。また、快適でリラックスできる治療環境を提供し、患者様が安心して治療を受けられるよう配慮しています。
患者様がみらくる歯科クリニック川越を選ぶ理由は多岐にわたります。クリニックの高い技術力、個々の患者様への丁寧な対応、透明性の高い料金体系などが、患者様の信頼と満足を得る要因となっています。また、治療結果の美しさと機能性、およびアフターケアの充実も、患者様から高い評価を受ける理由です。
みらくる歯科クリニック川越のスタッフは、専門知識と技術を持つ経験豊富な専門家たちです。患者様一人ひとりに合った治療計画を立て、親身になって対応することを心掛けています。クリニックの環境は、清潔でモダンなデザインが特徴で、リラックスして治療を受けられるよう配慮されています。快適な治療環境とフレンドリーなスタッフにより、患者様にとって通院が楽しみになるような空間を提供しています。
みらくる歯科クリニック川越の特色と強みは、最新技術の導入、患者様一人ひとりに対する個別化されたアプローチ、そして心地よい治療環境にあります。この章を通して、クリニックがなぜ多くの患者様に選ばれ、高い評価を受けているのかをご理解いただければと思います。患者様のニーズに応じた質の高い治療と、心地よい環境の提供が、みらくる歯科クリニック川越の成功の秘訣です。

審美歯科セラミック治療は現代の歯科医療における重要な進展であり、その未来は非常に明るいと言えます。この章では、審美歯科セラミック治療の将来の可能性、患者様の幸せに対するその貢献、そして健康と美の融合への道筋について考察します。この治療がどのようにして患者様の生活の質を向上させ、未来の歯科医療においてどのような役割を果たす可能性があるのかを理解していただければと思います。
審美歯科セラミック治療の未来は、技術革新と材料の進化によって、さらなる発展が期待されます。新しい材料や技術は、治療の精度を高め、より自然で耐久性のある結果をもたらすことができます。また、デジタル化とパーソナライズ化の進展は、治療の効率と患者様の満足度をさらに向上させるでしょう。これらの進歩は、審美歯科セラミック治療をより広くアクセス可能にし、より多くの人々にその恩恵をもたらす可能性を秘めています。
審美歯科セラミック治療は、単に歯の見た目を改善するだけではなく、患者様の全体的な幸せに寄与します。自信を持った笑顔は、社会的な関係や自己表現において大きな役割を果たし、患者様の日常生活における満足度と幸福感を高めます。また、口腔の機能改善は、食事や会話の快適さを向上させ、全体的な生活の質を高める効果があります。
審美歯科セラミック治療は、健康と美の完璧な融合を目指す歯科医療の模範です。この治療法は、美的な見た目と口腔機能の両方を改善することで、患者様の全体的なウェルビーイングに貢献します。未来において、この融合はさらに進化し、患者様にとってさらに利益をもたらすものとなるでしょう。新しい材料や技術の開発は、治療の選択肢を広げ、より多くの人々に高品質な歯科医療を提供する道を開くことになります。
審美歯科セラミック治療は、その進化により歯科医療の未来に大きな希望をもたらしています。技術の進歩は、治療の精度とアクセス性を向上させ、患者様の幸せと健康に貢献することでしょう。審美歯科セラミック治療は、患者様の美しい笑顔と健康な生活を支える重要な役割を果たし続けることが期待されます。
矯正をしないで治したいとのことだったので、かなり難しかったです。
八重歯の抜歯、歯ぐきの手術、銀歯の除去などを行い、多少のでこぼこ感は残りましたが、きれいに仕上がりました。
患者様は大満足でした。
歯の治療が終わった後、めでたくご結婚が決まり、最高の笑顔で挙式をされました。
| Before | After |
|---|---|
![]() |
![]() |
![]() |
![]() |
![]() |
![]() |
| 治療名 | 審美歯科治療 |
|---|---|
| 患者様 | 20代・女性 |
| 執刀医 | Dr.高橋 |
| 治療内容 | 前歯部オールセラミック治療、臼歯部オールセラミック治療、コンポジットレジン治療 |
| 治療期間 | 8ヶ月 |
| 費用 | 1,760,000円(税込) |
| リスク | セラミックの破折、レジンの摩耗が考えられます。 |
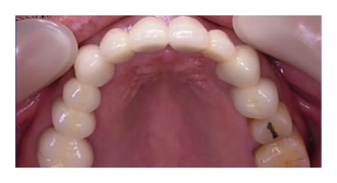
前歯をきれいにしたいと来院されました。
もともとお顔のわりに歯の色が良くなかったので、白めの歯をお勧めしました。
銀歯の除去、歯ぐきの手術を行い、歯の長さを揃え、芸能人並みの白い歯を入れてみました。
患者様は大満足でした。
| Before | After |
|---|---|
![]() |
![]() |
![]() |
![]() |
![]() |
![]() |
| 治療名 | 審美歯科治療 |
|---|---|
| 患者様 | 20代・女性 |
| 執刀医 | Dr.高橋 |
| 治療内容 | 前歯部オールセラミック治療、臼歯部オールセラミック治療、コンポジットレジン治療 |
| 治療期間 | 8ヶ月 |
| 費用 | 1,980,000円(税込) |
| リスク | セラミックの破折、レジンの摩耗が考えられます。 |
会社員時代はなかなか歯医者に通うことができず、定年を機に歯医者に通うことを決め来院されました。
最初は正直戸惑いましたが、気合いを入れて治しました。
矯正治療、インプラント治療、被せ物治療のフルコースを行い、劇的に変化させることができました。
まさに「miracle」ですね。
| Before | After |
|---|---|
![]() |
![]() |
![]() |
![]() |
![]() |
![]() |
| 治療名 | 矯正治療、インプラント治療、オールセラミック治療 |
|---|---|
| 患者様 | 60代・男性 |
| 執刀医 | Dr.高橋 |
| 治療内容 | 矯正治療、インプラント治療、オールセラミック治療 |
| 治療期間 | 8ヶ月 |
| 費用 | 3,630,000円(税込) |
| リスク | 矯正後の後戻り、インプラントが定着しない可能性、セラミックの破折が考えられます。 |
みらくる歯科クリニック川越では、各分野の専門知識を備えた歯科医師が監修し、ホームページを通じて信頼できる医療情報の提供に努めます。また、川越市川越駅の歯医者・歯科として安心して治療を受けていただけるよう、正確な情報発信に努めています。