インプラント症例|川越市の歯医者・歯科みらくる歯科クリニック川越
お口全体の
治療
お口全体
の治療
治療紹介
院長紹介
こんなお悩みありませんか?
インプラント治療の種類
治療費
アクセス診療時間
お口全体の治療
治療紹介
院長紹介
こんなお悩みありませんか?
インプラント治療の種類
治療費
アクセス診療時間
トップ
インプラント症例
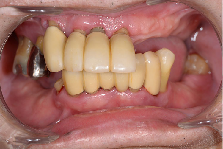
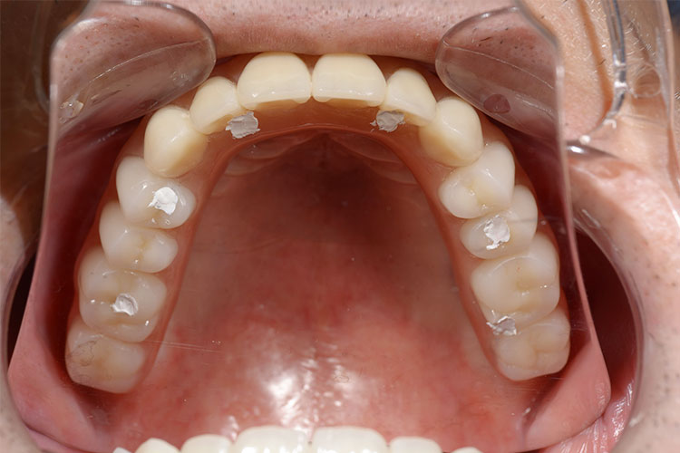
難症例のインプラント治療例【10本】
2025.04.01
インプラント症例
難症例のインプラント治療例【10本】
患者様
情報
治療期間
治療費
埋入数
リスクと副作用
男性
10ヶ月
5,637,600円
10本
術後に痛みや
腫れが出る恐れ
前の記事
難症例のインプラント治療例【9本】
次の記事
難症例のインプラント治療例【5本】
CONSULTATION
無料相談
一人ひとり違います。
あなたに合わせて話します。
インプラント無料相談